Contamos con los mejores especialistas en implantes dentales en Coslada , donde lo que más nos preocupa es la estética, pero realmente hay problemas mayores con la pérdida de piezas dentales.
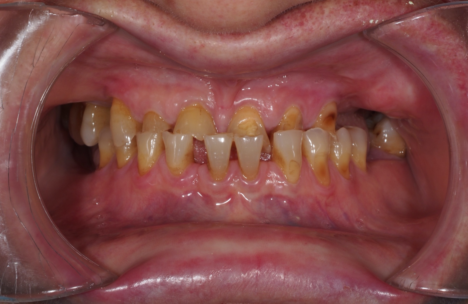
Con el tiempo, las personas tienen dificultades para masticar o pronunciar con normalidad y, además, la reabsorción del hueso dental se convierte en inevitable. Pero todo esto se puede resolver con un implante dental .
BUENO A base de 43 reseñas Publicado en Diego MarquinaTrustindex verifica que la fuente original de la reseña sea Google. Llevo unos meses con Mar como mi psicóloga y la verdad que me ha resultado de bastante ayuda. Gran profesional y que se nota que le gusta a lo que se dedica en consulta. Muy recomendable para aquellos que lo necesiten.Publicado en Fernando AntonTrustindex verifica que la fuente original de la reseña sea Google. Trato y atención maravillosos. Experiencia correcta con los implantes.Publicado en Mr_Margin_ CallTrustindex verifica que la fuente original de la reseña sea Google. Mi experiencia en la Clínica Wanda fue absolutamente positiva. Recomiendo encarecidamente este lugar a cualquiera que busque una atención dental excepcional en un ambiente acogedor y profesional. Desde el personal amable y atento hasta los servicios de alta calidad y la atención centrada en el paciente, esta clínica demuestra que el cuidado dental puede ser una experiencia placentera y gratificante.Publicado en Ana Camila AraujoTrustindex verifica que la fuente original de la reseña sea Google. Muy buena experiencia. Trato muy amable desde el momento de concertar la cita. Fui a la hora de mi cita y me atendieron sin esperas. Muy contenta con el trabajo y el trato del doctor Said (reconstrucción de una pieza). En todo momento me sentí a gusto en su consulta. Gracias!Publicado en Alberto BerzalTrustindex verifica que la fuente original de la reseña sea Google. Necesitaba operarme de miopía con láser y me hablaron de clínica Wanda, estoy muy contento con el resultado, el oftalmólogo es muy atento y amable. Los auxiliares son muy profesionales con todas las pruebas. Todo esta muy higiénico y el precio no es elevado para la mejoría que se nota después, Lo recomiendo 100%Publicado en toulen berkdarTrustindex verifica que la fuente original de la reseña sea Google. Acudí a esta clínica por recomendación de unos amigos. Yo me he hecho el tratamiento Invisalign y he quedado muy satisfecha. El trato es muy personalizado y todos los miembros del equipo de la clínica te transmiten tranquilidad a pesar del miedo que me suponía ir al dentista, han demostrado mucha amabilidad y profesionalidad. Es la clínica dental de la familia.Publicado en Nur SmoudiTrustindex verifica que la fuente original de la reseña sea Google. Llevo cerca de un año acudiendo a la clínica tras la recomendación de una amiga y la experiencia ha sido siempre magnífica. He hecho tres implantes con ellos y el resultado ha sido magnifico.Publicado en Mused AlbaroudiTrustindex verifica que la fuente original de la reseña sea Google. Trato excelente!! Todos grandes profesionales tanto el dentista cómo la auxiliar con calidades de primera y a un precio razonable!! Sin duda se han convertido para mi la clínica wanda dental de referencia a toda mi familia!! Muy recomendable!!Publicado en Borja García MartínTrustindex verifica que la fuente original de la reseña sea Google. Un gran servicio con resultados óptimos. El doctor Farah nos atendió de manera eficiente y solucionó el dolor que me afligía desde hacía meses en una sola sesión. Muy recomendable.Publicado en paquita maravilla Paqui Delgado RoblesTrustindex verifica que la fuente original de la reseña sea Google. Mi experiencia con la psicóloga ha sido un éxito. Tras lo vivido con profesionales en el área en otros centros, puedo decir que destaca la calidad en esta faceta de la clínica. El trato estupendo y con una profesionalidad impecable. Respecto a los precios, más que asequibles teniendo en cuenta lo que podemos encontrar en otros centros. Muchas gracias por la atención, sin duda, volveré!!!
Destacado profesional en el campo de la odontología, avalado por su sólida formación y amplia experiencia. Se licenció en Odontología por la Universidad Alfonso X el Sabio de Madrid , donde desarrolló una base académica robusta y un fuerte compromiso con la excelencia clínica.
Posteriormente, se especializó en Cirugía Oral, Implantología avanzada y Prótesis en la Universidad Internacional de Cataluña , una de las instituciones más prestigiosas en el ámbito odontológico. Durante su formación, realizó prácticas en el Hospital Platón de Barcelona , perfeccionando sus habilidades en extracciones quirúrgicas y asistiendo en cirugías maxilofaciales complejas.
En 2015, su dedicación y talento fueron reconocidos con un premio por un trabajo científico innovador, subrayando su capacidad para contribuir al avance de la odontología.
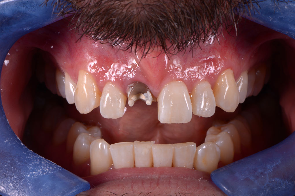
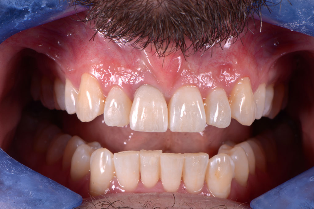
En Clínica Wanda, llevamos a cabo diversos tipos de implantes dentales, tanto por piezas como para la boca completa. Nuestro equipo es capaz de realizar cirugías predictivas utilizando técnicas innovadoras. Esto incluye la colocación de los implantes, los injertos óseos (si es necesario) y la fijación de dientes provisionales. Siempre buscamos proporcionar un tratamiento cómodo para nuestros pacientes
En Clínica Wanda, llevamos a cabo diversos tipos de implantes dentales, tanto por piezas como para la boca completa. Nuestro equipo es capaz de realizar cirugías predictivas utilizando técnicas innovadoras. Esto incluye la colocación de los implantes, los injertos óseos (si es necesario) y la fijación de dientes provisionales. Siempre buscamos proporcionar un tratamiento cómodo para nuestros pacientes
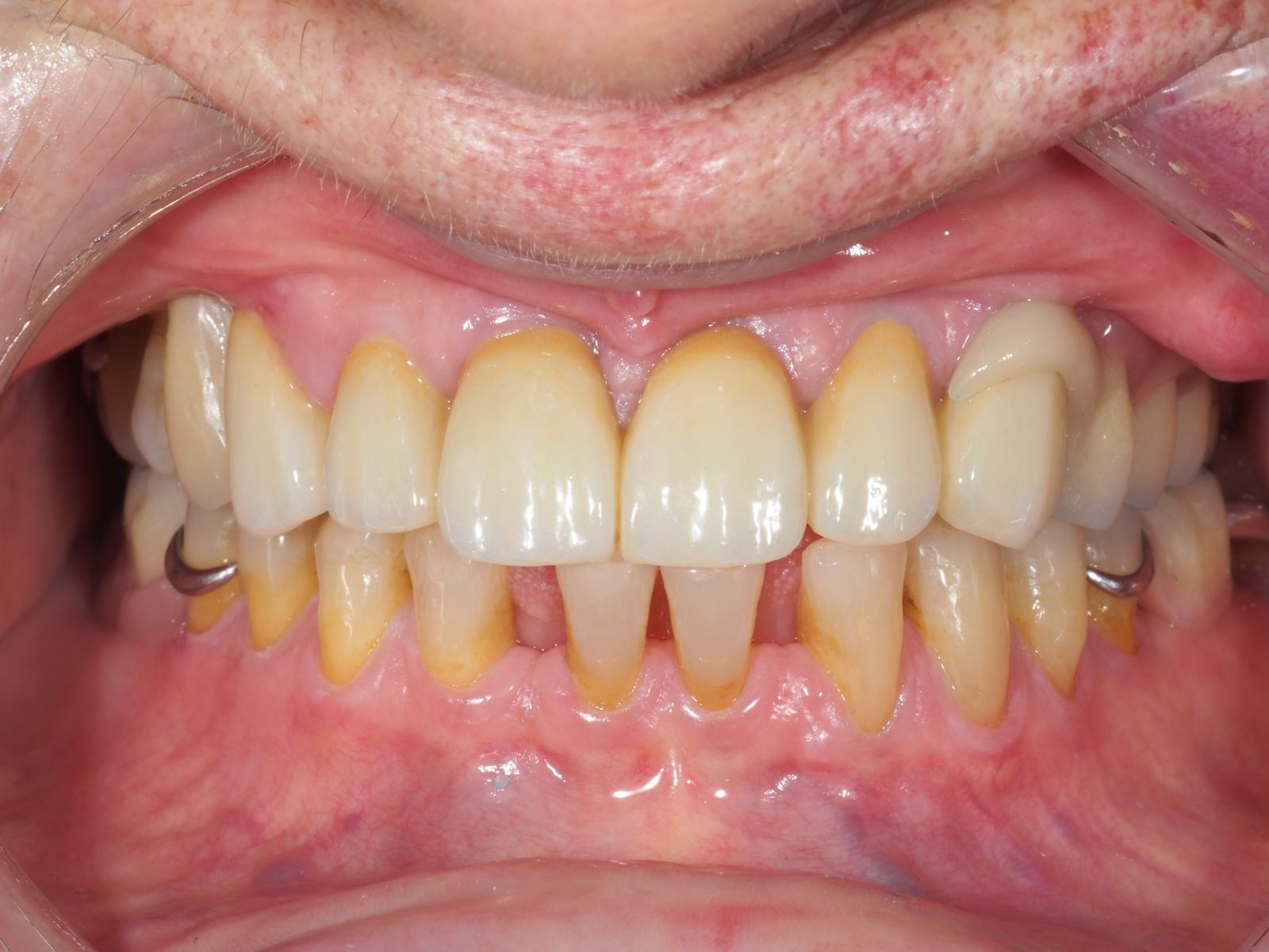
Los implantes por piezas sirven para reemplazar varios dientes individuales, mientras que los implantes de boca completa abordan la pérdida total de dientes en un arco
En los implantes por pieza cada diente ausente se sustituye por un implante dental independiente. Los implantes por piezas son ideales cuando sólo algunos dientes están afectados y el resto de la dentadura está en buen estado.
Proporcionan una solución fija y duradera para dientes individuales
Fácil aparcamiento y accesibilidad | Gta. Primero de Mayo, 7, 28821 Coslada
⭐⭐⭐⭐⭐ 4,3 Valoración en Google
Las prótesis de boca completa también son conocidas prótesis completas con implantes dentales o restauración completa de boca. Estos implantes se utilizan para reemplazar todos los dientes en un arco (ya sea el superior o el inferior).
La prótesis dental completa se sujeta mediante varios implantes dentales colocados estratégicamente en la mandíbula o el maxilar.
Hay dos tipos comunes de prótesis de boca completa:
✓ Prótesis híbrida: Combina implantes dentales con una estructura fija de dientes y encía. Ofrece una función masticatoria y una apariencia estética comparable a la de los dientes naturales
✓ Sobredentadura: Es una prótesis removible que se coloca sobre los implantes dentales. Aunque no es fija, para ciertos pacientes puede proporcionar mayor estabilidad y comodidad que las dentaduras convencionales
✓ Protésis fijas de metal cerámica o/ Zirconio: Las prótesis fijas de metal cerámicas o de zirconio son apreciadas por su estética natural, durabilidad y biocompatibilidad, evitando reacciones alérgicas . La elección entre zirconio y metal-cerámica depende de las necesidades estéticas, las fuerzas masticatorias y las preferencias del paciente y el dentista. Ambas opciones restauran eficazmente la función y estética dental.
En Clínica Wanda practicamos una implantología exigente. En todos los casos somos capaces de realizar cirugía predictivas con novedosas técnicas, con la colocación de los implantes, los injertos óseos (si es necesario) y los dientes fijos provisionales.
Buscando siempre un tratamiento cómodo para nuestros pacientes.
Se hace una valoración, si es el caso, se extraen las piezas previamente planificadas para éxito del tratamiento, para después colocar los implantes necesarios en el área a rehabilitar.
En algunos casos se colocan los dientes fijos el mismo día de la intervención.
El paciente tendrá ya una dentadura provisional, donde funcionalmente será casi como la definitiva.
Se realiza unas revisiones al cabo de 2 semanas para valorar la cicatrización y desarrollo del tratamiento.
Después de esta fase,hasta pasados unos meses no se rehabilitara definitivamente los implantes, con el fin de respetar los tiempos de osteointegración, y confeccionar la prótesis permanente.
Todos los acabados protésicos son de muy alta calidad, ya que tenemos una estrecha colaboración con los mejores laboratorios.
Los implantes cumplen tres funciones:
Fácil aparcamiento y accesibilidad | Gta. Primero de Mayo, 7, 28821 Coslada
Nuestro ADN se rige por la ética profesional y excelencia médica. Valores que mueven el día a día a formar un gran equipo, que atiende a todas las especialidades de odontología. Si buscas un dentista en Coslada con experiencia, profesionalidad y con precios competitivos, ¡estás en el lugar correcto!
Descubre las técnicas de ortodoncia más avanzadas y efectivas en la actualidad.
Las mismas técnicas que utilizan personajes públicos de la escena nacional e internacional.
Las mismas técnicas que utilizan personajes públicos de la escena nacional e internacional.
Fácil aparcamiento y accesibilidad | Gta. Primero de Mayo, 7, 28821 Coslada
